At Marton Dental Practice, we provide low-hassle and life-changing treatment to give you a full mouth of teeth and the confidence to smile again.
Replacing missing teeth is one of the most incredible things you can do for your general well-being. Gaps in your smile can cause a multitude of problems, including causing neighbouring teeth to shift, an increased risk of gum disease, and even stress on your TMJ jaw joint.
The good news is, there is more than one way of addressing tooth loss.
We offer free consultations with our dedicated Treatment Coordinator, allowing patients to find out more about us, how we do dentistry, and how we can help. We can also offer virtual consultations should you prefer this.
We offer 0% finance on treatments, including those for missing teeth, helping you to spread the cost of your treatment as you see fit. We don’t think that cost should ever stand in the way of wanting to better your oral health and well-being.
Unlike many other practices, our finance options extend beyond the traditional 12 months.
Book an appointment
Please contact our excellent reception team, who can book you in for a no-obligation missing teeth consultation with us.
If one or more teeth are missing on one side of the mouth, a dental bridge can create a bridge to fill the gap. A dental bridge uses bespoke crowns on one or both sides of the gap, which are affixed to healthy (supporting) teeth. In some cases, your dentist can place a small metal wing to secure the false tooth in the gap.
Once in place, your dental bridge is a fixed treatment that only your dentist can remove during examinations.
Dentures are a removable set of false teeth that have long been a popular option for patients with a high number of missing teeth. Dentures also provide a solution for patients who aren’t suitable for a dental bridge (this is usually when the teeth on either side of the gap are not healthy enough to support the bridge).
Dental implants are a fixed and biocompatible remedy for tooth loss. Whilst we don’t currently offer implants, we work with trusted implant referral centres who can provide this treatment for you.
Our referral colleagues are experienced implant dentists who work with a high degree of diligence and care to deliver long-term, successful outcomes of 95%+ with implants.
Thank you so much Omar for my New Teeth. I feel so much more confident and I was a little anxious to how they would look. Don’t want them being too thick too noticeable. They are perfect and I look natural. Thanks again
I couldn’t be happier with my Invisalign and edge bonding treatment at Marton Dental! The results have been amazing, thank you to Omar and Jody for their expertise and care throughout the entire process. From start to finish, they made me feel comfortable, informed, and supported every step of the way. The Invisalign treatment was so much easier than I expected! Omar and Jody kept their professionalism and skills throughout. The staff are always friendly, polite and really helpful couldn’t recommend marton dental practice enough.
Highly recommend all the staff are super friendly and are always there to help (especially Jodie and Omar). Couldn’t be more happier how Omar has done my teeth they are so natural and perfect exactly how I wanted them thankyou !!!
Omar and the team have helped me to be able to achieve my goal of having composite bonding, giving me advice throughout to ensure the best possible results including having Invisalign as part of my treatment. I have felt comfortable throughout to share any concerns or worries and Omar always makes me feel at ease. Really happy with the results and a lot more confident in my smile!
Such a welcoming practice. Mr Jones takes great care and is very informative explaining treatments throughout sprinkled with some lovely humour to lighten the mood.The hygienist is very thorough and easy to talk to about how best to care for your teeth between appointments.I highly recommend Marton Dental practice.I am a Denplan patient.
I'm absolutely delighted with my composite veneers and the service that I got from Marton Dental. my first interaction was with Jody who went through all my treatment options and had gave one-to-one support via WhatsApp which I found really productive and friendly. I have been wanting this treatment for years. I wish I'd have done it sooner. I would not hesitate to recommend Marton Dental to anybody thinking of improving their smile. It has changed the way I feel about my smile in a really positive way. I couldn't thank you enough Omar. What a fantastic professional how he has created two tiny teeth over my two baby teeth is magical and he could not have put me at ease or if you tried, thank you so much ❤️
My husband and I and our two daughters came for our 6 monthly check up today. Reception were very welcoming and friendly. The practice was very clean and tidy. Andrew was great. In-depth check ups and everything explained. Friendly and knowledgeable.I also had a scale a polish from Rachael which was pain free and my teeth now look and feel amazingThank you
Unbelievable result and unbelievable people. From chatting to the co-ordinator Jody to the final result by Omar, I cannot fault anything. Amazing customer service to even better results. I'm soo grateful to you both. Thank you xx
Couldn’t be happier with my new teeth after Invisalign and edge bonding, they look so natural! Thankyou so much to Jody and Omar for being so friendly and attentive from start to finish.
Fantastic customer service from the whole team - welcoming and helpful reception staff. My consultation with Jody was excellent, she is super knowledgeable and explains all options fully; pricing is transparent prior to all treatments - all of which really helps in making an informed decision on the right course of treatment. Omar came highly recommended and I can fully endorse this; I would not hesitate to recommend him. He is warm, friendly and highly skilled. Thank you
Not sure where to start with this review other than to say my expectations were exceeded from the second I walked in and had my consultation with the lovely Jodie to my final fitting with the lovely Omah. As nervous as I was these were put to ease straight away. My own insecurities were quickly put aside when I was reassured every step of the way by not been made to feel anything other than deserving to be receiving the best possible service, I honestly give every step of the process a 10 out of 10 and have not one bad word to say! The treatment and customer service has been life changing and would urge anyone no matter how nervous to go for it! You won’t regret it I promise x
Myself and my children attend this dental practice and see Omar, I couldn’t recommend him more. The reception team are always friendly and welcoming, and the hygienist Rachael is fantastic. We always feel well looked after and wouldn’t want to go anywhere else.
Omar & Jodi have been fantastic support throughout my Invisalign journey, on hand with both expert knowledge and aftercare. The greatest change has been my confidence alongside my new smile. Would highly recommend their service!! Thank you both!
I always get an excellent service here, and could not recommend them enough. Friendly, helpful staff throughout the practice, and I always feel comfortable, which is great, because I hated dentists as a kid!!
I can’t recommend Omar enough! I am so happy with my teeth. They are exactly what I asked for. Couldn’t be happier with my new smile. Omar and team were all so lovely and made me feel at ease and I felt listened to.Thank you so much 🥰
My Invisalign treatment has been positive from start to finish. I am so pleased with the results. Absolutely no pain throughout, and really quick! Omar and Jody have been fantastic, putting me at ease and answering all my questions. I wish I’d done it years ago. Thank you!
Amazing service from Omar and the team, i am so happy with my new teeth - everything i wanted and more for my new smile. After initially feeling really nervous about the process i felt at ease instantly after speaking to Jodie and Omar so happy!
After being recommended Marton Dental Practice, myself and my partner were eager to get booked in for various treatments (including Invisalign with whitening and edge bonding for myself) and WOW the experience was completely faultless! All of the staff are incredibly welcoming but my hat goes off to Omar and Jody for their care and professionalism with a laid back feel. We can’t thank you enough for giving us the smiles of our dreams in the space of just 12 weeks.
Everyone is lovely at this practice.. Had an appointment with Sophie who was amazing. She kept me informed from start to finish when I had my filling so I knew what to expect. She was caring and very friendly. Her assistant also called Sophie was also lovely.. I would highly recommend this practice for all your dental care. Especially sophie that made my day actually enjoyable instead of my usual nerves appearing!!
Always a super positive experience at this dental surgery. Been going to Marton Dental for over 10 years. A very thorough dentist who actively listens and a hygienist giving sparkly clean teeth. Thank you Marton Dental!
Had the best experience at Marton dental for Invisalign and composite bonding. The reception team are great and Jody the treatment coordinator was amazing and could answer any question around the process, treatment and aftercare. Omar is exceptional and really friendly and gave me exactly what I wanted with my bonding. The whole process has been flawless and I would recommend Marton Dental 110% to anyone wanting cosmetic treatment.
I changed my dentist to Marton Dental Practice after being with another dentist for a very long time.I was nervous and Lucy put me and my children at ease straight away.I needed to have some treatment and in-between treatment something else cropped up. My teeth were certainly not giving me a break.Lucy is a fantastic dentist and they are certainly not enough star's above.Lucy makes you feel so calm and her dentistry skills are amazing.
Delayed review but I just want to say thank you so much to Marton Dental Suite for giving me my dream smile. Special thanks to Jodie & Omar who were both so friendly and welcoming throughout the whole process. My new smile turned out better than I would’ve ever imagined. Thank you so much again and I would 100% recommend ☺️
I phoned this morning for an emergency appointment following dental pain overnight which was escalating.From start to finish I received brilliant care.The receptionist was very helpful, sympathetic & listened to my issue. I was allocated an appointment the same day.Friendly, professional, reception environment.Seen promptly by Omar & dental nurse.My problem was assessed, fully explained, & I received excellent care.Outstanding ( as always).I am hugely grateful.
Fabulous experience from start to finish! All staff were lovely and welcoming & the dentist himself was amazing. Listened exactly to what I wanted and asked for, made it very personal to me and made the whole service very relaxed. Nothing was to much (I am very particular). The subtle change I had has made a massive impact to myself and confidence!
Amazing dentist, I had so much trouble with a single tooth with multiple visits to the dentist and no help. After the threat of losing the tooth I rang Marton dental practice and was seen quickly. After that I had a series of appointments where they worked on my teeth to create the strongest and most pleasant feeling teeth I had in years. Since I have had no problems and I owe it to the work that they did.Thanks again.
Sophie the dentist was amazing, I am a very nervous patient and she put me right at ease straight away. I had a crown done and now I feel like a king. The dental practise is beautiful and Modern and the whole experience was amazing considering I was scared to even walk through the door. Thank you to sophie G and the team. Xx
Recently had a new bridge fitted with Lucy, who was great, such an easy comfortable treatment. Reception staff are also very friendly and helpful. So pleased with the end results, thank you so much.😊
I had my composite bonding done by Omar and i honestly couldn’t be happier with the results and experience. From start to finish, i felt comfortable and at ease- he took the time to explain everything and make sure i felt confident throughout the whole process. The results look amazing and i couldn’t recommend Marton dental practice and the team enough, especially Omar and Jody! 😁🦷🪥❤️
Marton Dental Practice have been absolutely excellent. I have received 10/10 service and care from the start of the Invisalign process until now and I continue to feel supported. There has been a warm, caring and personal approach to care which has put me at ease throughout. Care has been both attentive and thorough and I am really happy with my results. Thank you so much.Jess Griffin
Jodie & Omar have been amazing every step of the way. I Was nervous with the transformation and choosing which option would be best for my smile. Jodie has always been there to help with any questions / queries which has helped a lot. Omar listens and always gives his best advice. Thank you both!
Excellent service, as usual, from our dentist and the reception staff. I have been using this practice for 50 years and have never had a complaint. Staff always friendly and dentist always happy to give advice. Thank you.
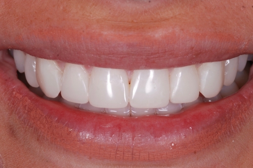
Explore our Smile Gallery to see the incredible transformations and radiant smiles achieved through our skilled dental care.